홈으로 이동하기 이벤트페이지로 이동하기 사업자정보로 이동하기

글로벌이미지
SINSA ORAL & MAXILLOFACIAL SURGERY

임플란트센터

양악수술의사가 하는 임플란트수술은 과연?
불가능이 있을까?

SINSA ORAL & MAXILLOFACIAL SURGERY

상담 전, 예상 비용 범위를 미리 확인해보세요.

STEP 01 임플란트 종류를 선택하세요.
  • DO 임플란트 로고
    55
    만원
  • 오스템 임플란트 로고
    60
    만원
  • 블루다이아몬드 임플란트 로고
    75
    만원
  • 스트라우만 로고
    130
    만원
  • 전악임플란트 상악
    *뼈이식술 포함

    700
    만원 (DIO임플란트 기준)
  • 전악임플란트 하악
    *뼈이식술 포함

    600
    만원 (DIO임플란트 기준)
STEP 02 치료가 필요한
치아 수를 입력하세요.
STEP 03 뼈이식(0.15cc) 갯수를
입력하세요.

0.15cc당 10만원

일반적으로 치아 1개당 0.15cc의 인공뼈가 사용됩니다.

상악동 뼈이식에는 0.15cc*6 = 0.9cc 정도의
인공뼈가 사용됩니다.

수술난이도와 금액은 무관합니다.

STEP 04 엑소좀(치아당) 갯수를
입력하세요.

치아당 10만원

심한 염증/다량의 치조골이식술/상악동 수술시엔
엑소좀 강력추천

엑소좀의 경우 치아 1개당 0.3cc를 사용합니다.

효과 염증 반응 조절 조직재생 및 상처 치유 촉진

화살표 이미지
예상 견적가

해당 견적가는 예상 금액으로, 상담 내용에 따라 변동될 수 있습니다.

임플란트 관련 이미지

전악 임플란트가
한시간만에?

안면 골격을 다루는
구강악안면외과 전문의 경험으로
짧은 시간에도 정밀한 식립을 완성합니다.

임플란트 관련 이미지

한국인의 일상에 맞춘
블루다이아몬드 임플란트

단단하고 질긴 음식도 견딜 수 있는 높은 강도,
칼슘이온 흡착 기술로 뼈 재생과 보다 더 빨라진 회복 속도,
잇몸과 뼈가 약한 시니어도 추가 시술 없이
안정적인 식립이 가능합니다.

데코 이미지
원장님 프로필 사진

구강악안면외과의사에게
불가능한 임플란트는 없습니다.

턱뼈 이동까지 다루는 구강악안면외과 전문의로서,
수많은 골격 수술 경험을 바탕으로
가장 안정적인 위치를 찾습니다.

SINSA ORAL & MAXILLOFACIAL SURGERY

양악수술의사의 임플란트 수술

임플란트 치아 사진

보철물
실제 치아 역할을 하는
자연 치아 모양의 보철물입니다.

인공 치근
임플란트의 뿌리 역할로,
잇몸뼈에 식립합니다.

맞춤형 지대주
보철물을 지지하기 위해
인공 치근과 보철물을
연결하는 중간 구조물입니다.

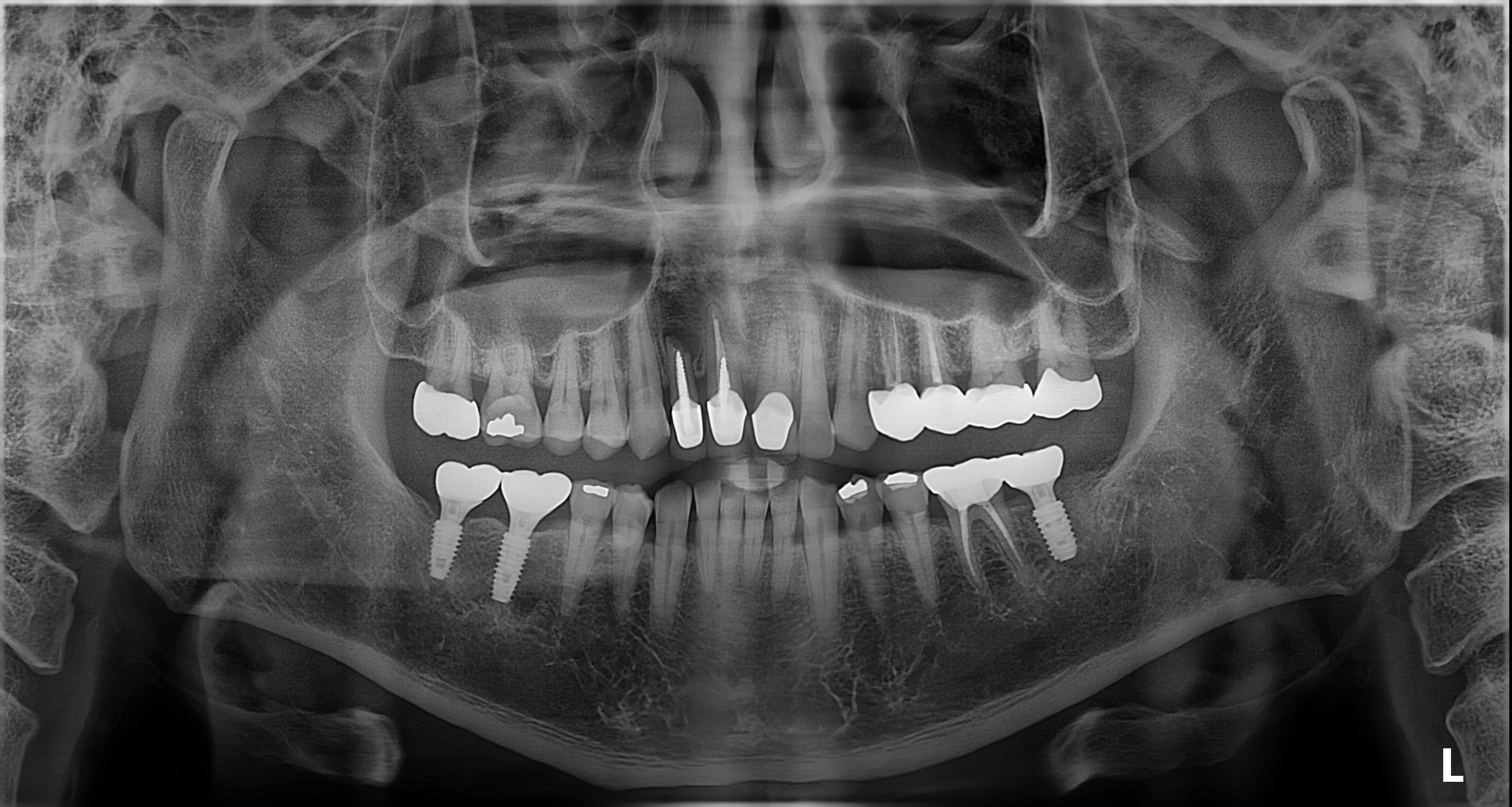
임플란트 시술 사진

임플란트의 5년 성공율은
최근 발표된 논문들까지 종합해도
90~95% 이상으로 발표되고 있습니다.
매우 높은 성공율입니다.

하지만, 실패한 임플란트를 같은 자리에
재식립했을 때의 성공률은 70%대로 떨어집니다.
(J Oral Maxillofac Surg 78:375-385, 2020)
초기에 발견하고 재식립했을 때는 성공율이 높아집니다.

임플란트 시술 사진
전구 이미지

여기서 중요한 점이 드러납니다.

따옴표 이미지

성공과 실패에 대한 정확한 정보전달
환자에게 되고 있는가?

따옴표 이미지
SINSA ORAL & MAXILLOFACIAL SURGERY

신뢰가 함께한 진료의 순간

환자 한 분 한 분과 함께 쌓아온 소중한 기록입니다

임플란트의 모든 정보가
그대로 전달될 수 있을 때까지

More view화살표 이미지
임플란트+엑소좀 썸네일
임플란트+엑소좀 썸네일
임플란트+엑소좀 썸네일
임플란트+엑소좀 썸네일
염증있는 치아 임플란트 썸네일
임플란트+엑소좀 썸네일
엑소좀+임플란트 썸네일
임플란트+엑소좀 썸네일
임플란트+엑소좀 썸네일
SINSA ORAL & MAXILLOFACIAL SURGERY

치과 공포가 있어도,
신사구강악안면외과에서는
편안하게 치료받을 수 있습니다.

마취과 전문의 상주 시스템으로 의식하진정·전신마취 수술이 가능합니다.

*마취료 50만원 추가